

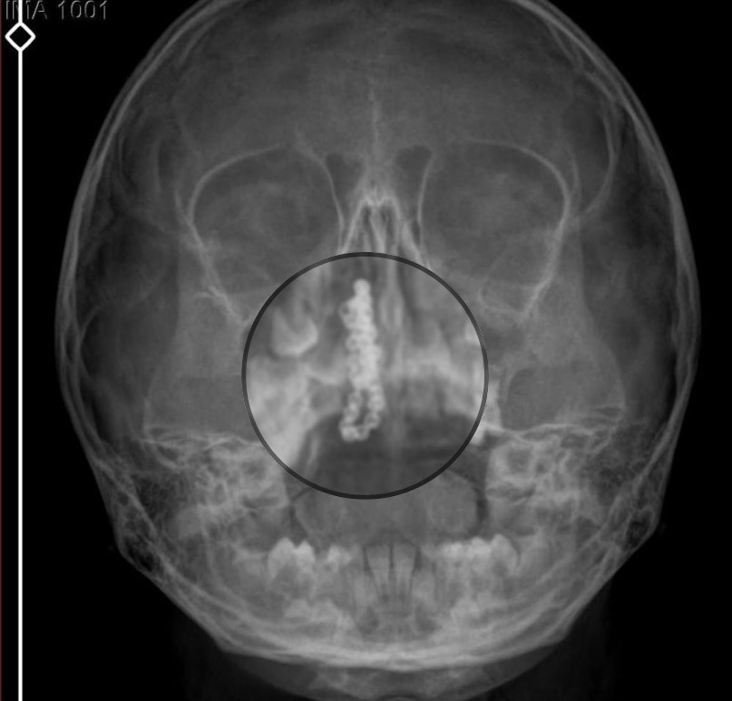
Rize'de şiddetli burun kanaması ve akıntı şikayetleriyle ailesi tarafından götürüldüğü özel hastanede ilaç verilen Polen Tekin (5), taburcu edildi. Kanamanın sürmesi üzerine bu kez devlet hastanesine götürülen küçük kızın burnunda tespit edilen tırnak makası zinciri ameliyatla çıkarıldı. Baba Gökhan Tekin, suç duyurusunda bulunacaklarını belirterek, “Zincir, 2 yıldır burnunda ve devletimizin hastanesinde iyi bir doktorumuz zinciri ortaya çıkarıyor, kızım ölümden dönüyor” dedi.
Kentte yaşayan Gökhan-Nalan Tekin çifti, yaklaşık 4 ay önce şiddetli burun kanamasının yanı sıra akıntı şikayetleriyle kızları Polen'i, bir özel hastaneye götürdü. Burada röntgeni çekilip, tetkikleri tamamlanan küçük kıza, iddiaya göre enfeksiyon teşhisi konulup, ilaç verildi. Eve dönen aile, kanama ve akıntının geçmemesi üzerine bu kez Rize Devlet Hastanesi'ne giderek Kulak Burun Boğaz Polikliniği'ne başvurdu. Devlet hastanesindeki doktorun incelemesi ve kapsamlı röntgen çekilmesi sonrası Polen'in burnunda metal cisim olduğu fark edildi. 2 yıldır burunda kaldığı değerlendirilip, küçük top şeklinde tırnak makası zinciri olduğu belirlenen cisim, başarılı ameliyatla çıkarıldı. Bir süre tedavisi sürdürülen Polen, sağlığına kavuşunca taburcu edildi. Özel hastane yetkilileri, konuyla ilgili açıklama yapmazken; aile suç duyurusunda bulunacaklarını söyledi.
'BU İŞİN PEŞİNİ BIRAKMAYACAĞIM'

Kızının burnundan sürekli siyah renkte akıntı olduğunu anlatan Gökhan Tekin, “Çocuğumun burnundan kanama ile sürekli siyah akıntı geliyordu. Özel hastaneye götürdüm. Özel hastanede film çekildi, hiçbir bulguya rastlanılmadığı söylendi. O siyah leke de enfeksiyona dayalı olan bir şey olduğu bize söylendi. Eve geldik, akıntı sürmesi üzerine bu kez devlet hastanesine başvurduk. Burunda metal zinciri fark ettiler. Böyle bir ihmalkarlık olabilir mi? Özel hastaneye gidiyoruz, paramızla rezil oluyoruz. Zincir, 2 yıldır burnunda ve devletimizin hastanesinde iyi bir doktorumuz zinciri ortaya çıkarıyor, kızım ölümden dönüyor. Ben sonuna kadar bu işin peşini bırakmayacağım. Sonuna kadar hukuk mücadelesi vereceğim. Bu da diğer hastalarımıza ibret olsun. İşte, bakın koca bir zincir. 'Bulguya rastlanılmadı' deniliyor” dedi.
'BİZE 'EVDE SOBA MI YANIYOR' DEDİLER'

Kızının ameliyat sonrası durumunun iyi olduğunu söyleyen Tekin, “İnanır mısınız bize 'Evde soba mı yanıyor? Acaba kömür isten dolayı mıdır bu?' dendi. Böyle bir şey olabilir mi? Ameliyattan çıkan parmağım kadar zincir. Devlet hastanesindeki doktor da 'Bu nasıl gözden kaçılabilir? Böyle bir pozisyon nasıl görülmeyebilir?' yorumunda bulundu. Allah'a şükür olsun atlattık. Şu anda durumu, vaziyeti iyidir. Ben şuna inanıyorum doktor da bir şans işidir. Bakın paramızla özele gideriz ya hani bizde, daha iyi ilgilenirler. Oysa devlet hastanesindeki doktorumuz olayı meydana çıkardı” diye konuştu.


