Web sitemizde yer alan haber içerikleri izin alınmadan, kaynak gösterilerek dahi iktibas edilemez. Kanuna aykırı ve izinsiz olarak kopyalanamaz, başka yerde yayınlanamaz.
Almanya'nın sağlık ve tıp alanındaki en saygın ödüllerinden biri olan “Alman Tıp Ödülü”, Düsseldorf'ta yaklaşık 350 katılımcının yer aldığ...
Amerika Birleşik Devletleri'nde gerçekleştirilen kapsamlı bir araştırmaya göre, bebeklik döneminde yer fıstığına dair uyarıların kaldırılmasının ardından ç...
ABD'deki Illinois Urbana-Champaign Üniversitesi tarafından yapılan yeni bir araştırma, kişilerin zaman zaman sevdikleri yiyecekleri az miktarda tüketmeleri...
MERVE ŞİŞMAN / NEFES Antalya'daki Akdeniz Üniversitesi Hastanesi’nde kanser hastalarının tedavisinde yaşanan gecikmeler ve uygulanmayan ameliyatların siste...
Kalp damar hastalıkları, günümüzün en yaygın ve en ciddi sağlık sorunları arasında yer almaktadır. Kalbi besleyen koroner damarlar, zamanla kolesterol birikimi ...
Ordu Üniversitesi Ziraat Fakültesi Bahçe Bitkileri Bölümü 1. sınıf öğrencisi Mert Erkek (21), akşam saatlerinde arkadaşlarıyla birlikte halı sahada futbol oynar...
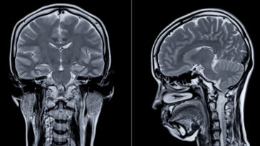
Norveç'te bulunan Oslo Üniversitesi'nde gerçekleştirilen kapsamlı bir araştırma, erkeklerin beyin dokusunun yaş ilerledikçe kadınlarınkinden daha hızl...
Edith Cowan Üniversitesi (ECU), Curtin Üniversitesi ve Batı Avustralya Üniversitesi’nin ortak yaptığı çalışma, kalsiyum takviyesinin uzun vadede demans riskini ...
Çek Cumhuriyeti'nde faaliyet gösteren dTest adlı tüketici organizasyonu, Philips, Curaprox ve Sophie la Girafe markalarına ait bazı emziklerde Bisfenol A (...
Covid 19 pandemisinin etkileri dünya genelinde devam ederken, bazı sonuçlar gözden kaçıyor. Amerika Birleşik Devletleri'nde gerçekleştirilen yeni bir araşt...