

İran'da geçen ay artan rejim karşıtı protestolar sırasında güvenlik güçlerinin protestoculara uyguladığı şiddetin boyutunu gözler önüne seren yeni tıbbi raporlar yayımlandı.
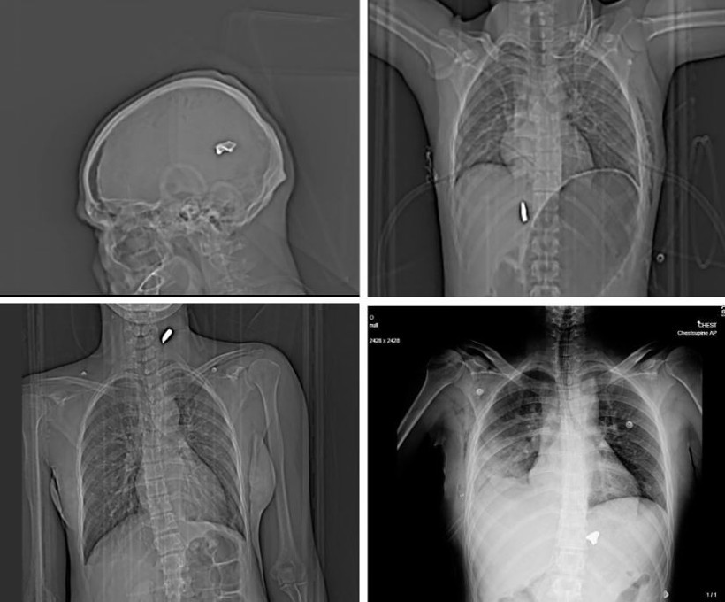
İngiliz gazetesi The Guardian ve söz konusu bilgilerin doğruluğunu teyit eden Factnameh'nin gerçekleştirdiği ortak araştırmada, ülkenin büyük şehirlerinden birinde yer alan bir hastaneden elde edilen 75'ten fazla röntgen ve bilgisayarlı tomografi görüntüsü yayınlandı.
Bu görüntüler, güvenlik güçlerinin yüksek kalibreli silahlar ve birdshot mühimmatı kullandığına dair iddiaları destekliyor. Röntgenlerin büyük bölümünde, protestoculara karşı “birdshot” olarak adlandırılan mermilerin kullanıldığı belirtiliyor.

Uzmanlar, bu tür mühimmatların uzak mesafelerde geniş bir alana yayıldığını, ancak yakın mesafeden atıldığında ciddi ve hayati tehlike içeren yaralanmalara yol açabileceğini ifade etti.
Balistik uzmanları, bazı röntgen görüntülerinde vücutta bulunan mermilerin AK-47 ve KL-133 gibi taarruz tüfeklerine ait mermilere benzer olduğunu aktardı.
Bir başka uzman, görülen yaralanmaları “savaş alanında sıkça karşılaşılan türde” olarak tanımladı.
Saldırıların çoğunlukla yüz, göğüs ve genital bölgelerde yoğunlaştığı da dikkatlerden kaçmadı. 2022 yılında başlayan “Kadın, Yaşam, Özgürlük” protestolarında da benzer yaralanma örüntüleri gözlenmişti.

Guardian'a konuşan İranlı doktorlar, protestocuların özellikle göz, göğüs ve genital bölgelerinin hedef alındığını ifade etti. Bazı sağlık çalışanları, pek çok hastada görme kaybı meydana geldiğini ve bunu yaşayanlar arasında çocukların da bulunduğunu belirtti.
Uzmanlar, genital bölgeyi hedef alan saldırıların uzun vadede ciddi sonuçlar doğurabileceğini, kalıcı kısırlık riskinin yüksek olduğunu vurguladı.


