

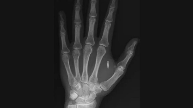
ABD'nin Missouri eyaletinde yaşayan sihirbaz ve moleküler biyolog Zi Teng Wang, yıllar önce sahne gösterilerinde kullanmak amacıyla eline RFID mikroçipi yerleştirdi. Ancak Wang, bu çipe koyduğu şifreyi unuttuğu için kendi bedenindeki teknolojiye erişemez hale geldi.
Wang, yaşadığı durumu Facebook hesabında elinin röntgen görüntüsü ile paylaşarak, “Şu anda kendi siberpunk distopyamı yaşıyorum, vücudumdaki teknolojiye ulaşamıyorum ve bu tamamen benim hata.” şeklinde bir mesaj paylaştı.
HER ŞEY SAHNE NUMARASI İÇİNDİ
RFID çipi, bir seyircinin telefonunu Wang'ın eline yaklaştırdığı zaman çalışıyor ve sihir numarasını tetikliyordu. Fakat Wang, birçok telefonda RFID okuma özelliğinin kapalı olması nedeniyle bu yönteminin düşündüğü kadar etkili olmadığını fark etti.
Bunun üzerine çipi, bir Bitcoin adresi ve Imgur'daki “meme” bağlantısıyla yeniden programladı. Ancak Imgur bağlantısı zamanla bozuldu. Wang, çipi tekrar yazmaya çalıştığında kendi belirlediği şifreyi hatırlayamadığını anladı.
TEK ÇÖZÜM: ŞİFRELERİ TEK TEK DENEMEK
Wang'ın teknoloji uzmanı arkadaşları, onun yapabileceği tek şeyin RFID okuyucusunu günlerce elinde tutarak tüm şifre kombinasyonlarını denemek olduğunu ifade etti. Çünkü üretim sistemi, şifre sıfırlama seçeneği sunmuyor ve şifre unutulduğunda çip kilitli kalıyor.
Bu yöntemi pek pratik bulmayan Wang, çipin kolunda kalacağını belirtti. Mesajında, “Hâlâ kendi vücudumdaki teknolojiye erişemiyorum. Sinir bozucu ama bir o kadar da komik.” dedi.
DAHA ÖNCE DE YAŞANDI
2018 yılında Vice yazarı Daniel Oberhaus, sarhoşken eline bir NFC çipi taktırmış ve sonrasında şifresini unutmuştu. Sonrasında, kendisini “dünyanın en işe yaramaz siborgu” olarak nitelendiren Oberhaus, aylar sonra teknik dokümanları inceleyerek şifresini bulmuştu.
Uzmanlar, çiplerin vücuda entegre edilmesi ile ilgili teknolojinin yaygınlaşmasının bu tür durumların gelecekte daha sık yaşanabileceği konusunda uyarılarda bulunuyor.


